top of page
All Posts
עששת שיניים: גורמים, תסמינים וטיפולים
עששת שיניים היא אחת הבעיות הנפוצות ביותר בבריאות הפה — אצל ילדים וגם אצל מבוגרים. לעיתים אינה מורגשת בתחילתה, אך מתקדמת בהדרגה ועלולה לגרום לכאבים משמעותיים ואף לסיבוכים אם לא מטפלים בזמן. במאמר זה נסביר בצורה ברורה מהי עששת, איך היא מתפתחת, איך מזהים אותה ואילו טיפולים קיימים. 🦠 מהי עששת דנטלית ? עששת היא הרס הדרגתי של השן הנגרם מפעילות חיידקים בפה.החיידקים מפרקים סוכרים מהמזון והופכים אותם לחומצות שתוקפות את האמייל, ובהמשך את השכבות העמוקות של השן. ללא טיפול, העששת עלולה ל
olamkalpro
26 בדצמ׳ 2025


חרום דנטלי: מתי לגשת לטיפול מידי ולמה לא כדאי להמתין
כאבים חזקים בשן, נפיחות פתאומית בפנים או שן שנשברה הם מצבים שיכולים להופיע ללא אזהרה. במקרים מסוימים חשוב לפנות לרופא שיניים בדחיפות — לא רק כדי להקל על הכאב, אלא גם כדי למנוע סיבוכים שעלולים להיות חמורים. המדריך הבא יסביר מהי באמת חרום דנטלי, איך לזהות אותו, מתי חובה לפנות ללא דיחוי, ולמה טיפול מהיר משנה את כל התוצאה. 🚨 מהו חרום דנטלי ? חרום דנטלי הוא מצב רפואי הדורש טיפול מהיר אצל רופא שיניים.הוא שונה מאי נוחות קלה בכך שהוא חד, מתגבר ואף עלול להיות מסוכן. חרום דנטלי עשוי ל
olamkalpro
26 בדצמ׳ 2025


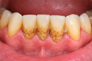
ניקוי אבנית בשיניים: מתי צריך, למה הוא חשוב וכיצד מתבצע הטיפול
ניקוי אבנית הוא אחד הטיפולים השכיחים ביותר במרפאות שיניים. למרות זאת, הוא לעיתים אינו מובן, מוזנח או אפילו מעורר חשש אצל חלק מהמטופלים. רבים שואלים האם הוא באמת נחוץ, כל כמה זמן צריך לבצע אותו והאם הוא כואב. במאמר זה נסביר בצורה ברורה מהו ניקוי אבנית, למה הוא חשוב לבריאות הפה, איך הוא מתבצע ומתי מומלץ לפנות לבדיקה. מהי אבנית דנטלית? אבנית היא רובד חיידקי שהתקשה על פני השן. הפלאק הוא שכבת חיידקים טבעית הנוצרת בפה ומתגברת לאחר אכילה.כאשר הפלאק אינו מוסר בצחצוח יעיל, הוא מת мине
olamkalpro
26 בדצמ׳ 2025


bottom of page